- Salute
Articolo
L'Italia è prima in Europa per numero di morti legato all'antibiotico-resistenza: dei 33.000 decessi che avvengono nelle nazioni paesi UE ogni anno per infezioni causate da batteri resistenti agli antibiotici, oltre 10.000 si registrano infatti nel nostro Paese.
È il quadro aggiornato fornito dall'Istituto Superiore di Sanità (ISS) in occasione... Continua
Articolo
I contraccettivi ormonali possono avere come effetto collaterale depressione e comportamenti suicidari: lo precisa l'Agenzia Italiana del Farmaco (AIFA) in una nota informativa.
Nella lettera inviata ai medici, l’AIFA spiega che si è deciso di aggiornare le informazioni sul prodotto con questa nuova avvertenza, dopo una valutazione sulla sicurezza... Continua
Articolo
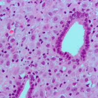
In Italia il cancro del pancreas è la quarta causa di morte per tumore: ogni anno si ammalano circa 13.500 persone, nel 2016 i decessi per questo tipo di tumore sono stati più di 12.000 e sappiamo che questo numero è destinato ad aumentare. Per oltre la metà dei pazienti la diagnosi avviene tardivamente, quando la malattia è in stadio metastatico... Continua
Articolo
Il 19 novembre ricorre il World Toilet Day, istituito dalle Nazioni Unite nel 2001: una giornata nata con l’obiettivo di sensibilizzare l’opinione pubblica e le istituzioni verso le molte persone che ancora vivono senza servizi igienici adeguati. Sebbene il bagno ed in generale i sanitari siano oggi dati per scontati, sono invece ancora molti i... Continua
Articolo
«Gli integratori alimentari sono alimenti presentati in piccole unità di consumo come capsule, compresse, fialoidi e simili. Si caratterizzano come fonti concentrate di nutrienti o altre sostanze ad effetto “fisiologico” che non hanno una finalità di cura, prerogativa esclusiva dei farmaci, perché sono ideati e proposti per favorire nell'organismo... Continua
Articolo
Il rischio di ammalarsi di una qualche forma di demenza (Alzheimer compreso) potrebbe aumentare sensibilmente con un consumo eccessivo di cibi contenenti grassi cattivi trans: ad esempio margarine, brioche, snack dolci, salatini, patate fritte surgelate, dadi da brodo, alimenti da fast food, pesce surgelato in panatura, in poche parole il cibo... Continua
Articolo
Le patologie riproduttive femminili - ad esempio alterazioni del ciclo mestruale, endometriosi e aborti, nati pretermine e sottopeso - possono essere correlate all'azione delle sostanze perfluoroalchiliche (PFAS) sulla funzione ormonale del progesterone, ormone femminile che agisce a livello dell'utero.
A sostenerlo è il gruppo di ricerca dell'... Continua
Articolo
I sapori aromatizzati delle sigarette elettroniche contribuiscono ad aumentarne l'uso.
A dirlo sono i ricercatori dell'Università della Carolina del Nord a Chapel Hill che in uno studio pubblicato sul British Medical Journal Open hanno rivisto cinquantuno studi scientifici.
Cinque studi hanno indicato come i sapori non mentolati nelle sigarette... Continua
Articolo
Le malattie rare endocrino-metaboliche (Ma.R.E.), in particolare quelle che alterano il metabolismo calcio-fosforo, causando conseguenze sullo scheletro e aumentando il rischio di fratture, saranno al centro della terza edizione del focus “Parliamo di Ma.R.E. in Sicilia. Malattie Endocrine Rare che rompono le ossa”, che si aprirà, alle ore 13 del... Continua
Articolo
Una “dieta della Terra” esiste. E fa bene alla salute oltre che al Pianeta.
I cibi che hanno una bassa impronta ecologica, infatti, sono classificati come sani. Ciò è valido con due eccezioni: il pesce (il cui consumo è meno sostenibile ma fa bene all'organismo) e le bevande zuccherate (che hanno una ridotta impronta ecologica ma sarebbe meglio... Continua
Categoria
autore
- redazione (1127) Apply redazione filter
- Andrea Cuscona (20) Apply Andrea Cuscona filter
- Julia Karpova (9) Apply Julia Karpova filter
- Federica Campilongo (8) Apply Federica Campilongo filter
- Sarah Donzuso (7) Apply Sarah Donzuso filter
- Antonio Percolla (6) Apply Antonio Percolla filter
- Sabrina Portale (6) Apply Sabrina Portale filter
- Marisa Falcone (5) Apply Marisa Falcone filter
- Anna Arietti (4) Apply Anna Arietti filter
- Davide Di Paola (4) Apply Davide Di Paola filter
- Santo Gulisano (4) Apply Santo Gulisano filter
- Benedetto Rizzo (3) Apply Benedetto Rizzo filter
- Guido Bissanti (3) Apply Guido Bissanti filter
- Jose Marano (3) Apply Jose Marano filter
- Steven Giuffrida (3) Apply Steven Giuffrida filter
- Tiziano Fusella (3) Apply Tiziano Fusella filter
- Angela Longo (2) Apply Angela Longo filter
- Caterina Lenti (2) Apply Caterina Lenti filter
- Claudia Signorelli (2) Apply Claudia Signorelli filter
- Cristian Fioriglio (2) Apply Cristian Fioriglio filter
- Federica Catalano (2) Apply Federica Catalano filter
- Francesca Romana Golino (2) Apply Francesca Romana Golino filter
- Francesca Santangelo (2) Apply Francesca Santangelo filter
- Gaetano Lo Monaco e Angela Longo (2) Apply Gaetano Lo Monaco e Angela Longo filter
- Maria Rita Ursino (2) Apply Maria Rita Ursino filter
- Raffaella Sacco (2) Apply Raffaella Sacco filter
- Salvina Favara (2) Apply Salvina Favara filter
- Adriana Alberghina (1) Apply Adriana Alberghina filter
- Barbara Corbellini (1) Apply Barbara Corbellini filter
- Mimmo Scollo (1) Apply Mimmo Scollo filter
- Paolo Reitano (1) Apply Paolo Reitano filter
- Riccardo Anastasi (1) Apply Riccardo Anastasi filter
- Rosa Rita Bellia (1) Apply Rosa Rita Bellia filter
- Valerio Gullotta (1) Apply Valerio Gullotta filter
- Vittoria Averni (1) Apply Vittoria Averni filter









