Gli antiossidanti presenti in diversi cibi, dal tè verde al pomodoro cotto, passando per i frutti rossi, l'uva e il melograno, possono davvero fare la differenza nella prevenzione del tumore alla prostata, aprendo un nuovo...
tumore alla prostata
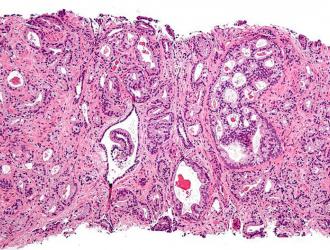
Sviluppato un test delle urine per prevedere l'aggressività del cancro alla prostata e decidere come curarlo in modo personalizzato.
Il risultato si deve a scienziati di University of East Anglia e Norfolk and Norwich University Hospitals ed è stato...
Una terapia poco invasiva permette di ridurre il tumore alla prostata ad uno stadio in cui si può evitare la terapia a favore della sorveglianza attiva, oltre che di eliminarlo se preso in fase iniziale.
La chirurgia focale sta per arrivare in Italia in alcuni centri specializzati. L’annuncio arriva...
La terapia “chemio-free”, con l'aggiunta della molecola abiraterone al trattamento ormonale standard, si conferma efficace nel mantenere stabile la malattia, e quindi allungare la sopravvivenza dei pazienti con tumore alla prostata metastatico alla diagnosi e ad alto rischio,...
Un'alimentazione troppo ricca di grassi “cattivi”, ovvero derivati da carni e formaggi, spinge il tumore alla prostata a diffondersi e formare metastasi. Ma questo processo può esser bloccato somministrando farmaci contro l'obesità. A identificare il meccanismo, dovuto in parte...





