
Si trova nell'intestino l'origine del fegato grasso

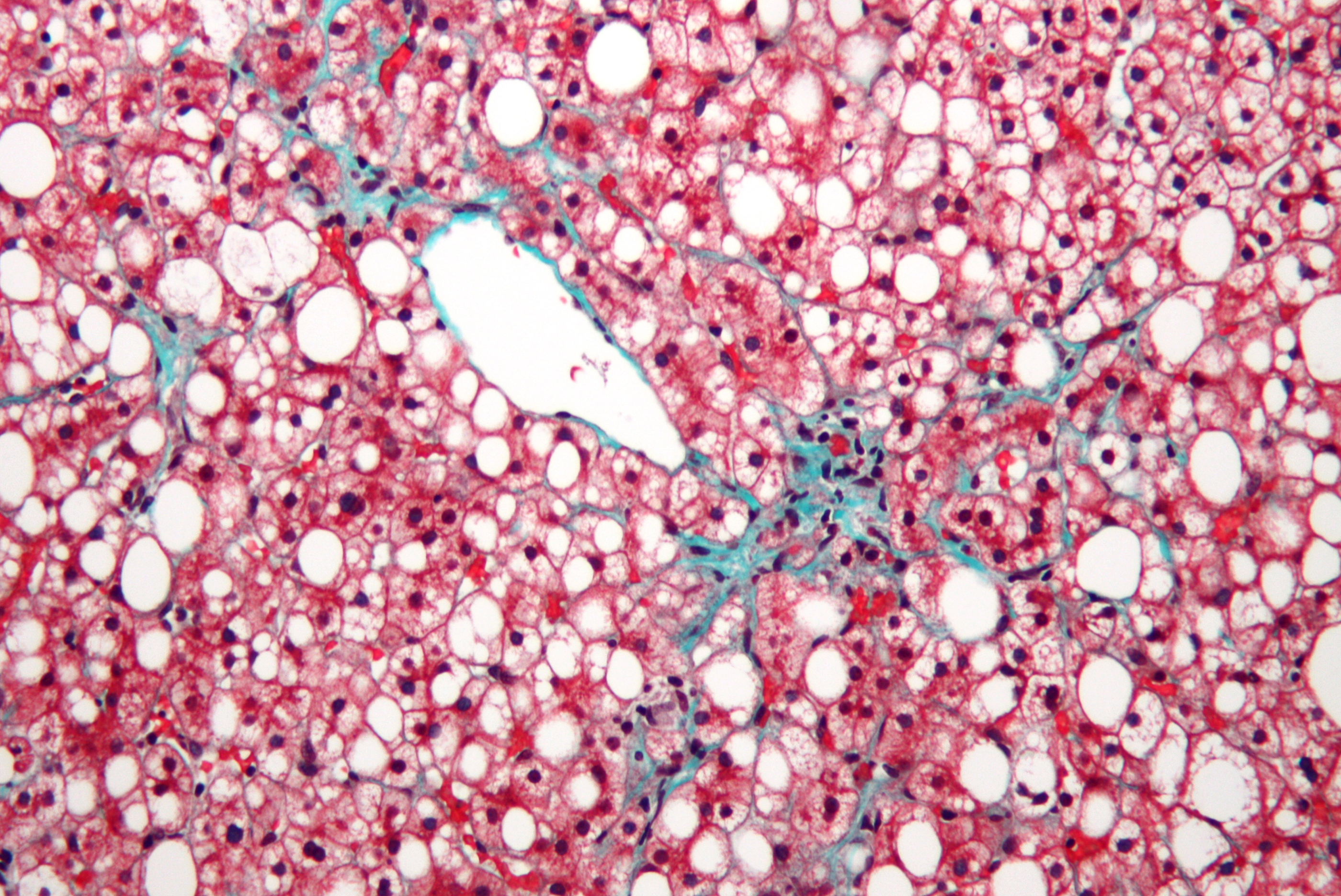
È il danno a due barriere dell'intestino, causato da una dieta ricca di grassi, a provocare lo sviluppo della steatoepatite non alcolica (NASH), malattia cronica del fegato che può portare alla cirrosi e insufficienza epatica. Lo hanno dimostrato i ricercatori guidati dall’Istituto Clinico Humanitas di Milano, il cui studio è pubblicato sul Journal of Hepatology.
Il nostro intestino è protetto da due barriere, una epiteliale esterna ed una vascolare, che impediscono ai batteri di passare nel sangue. Ma, come hanno dimostrato gli studiosi, un'alimentazione ricca di grassi altera la composizione del microbiota intestinale (cioè l'insieme dei batteri e microrganismi presenti) che, a sua volta, modifica la barriera vascolare con impatto sul fegato e sullo sviluppo della steatosi epatica non alcolica.
«Mettendo per la prima volta in correlazione l'intestino con il fegato, abbiamo dimostrato che un'alimentazione ricca di grassi induce un'alterazione del microbiota capace di danneggiare la barriera vascolare», spiega la coordinatrice dello studio, Maria Rescigno. Una volta aperta la barriera, alcuni batteri possono spostarsi dall'intestino al fegato, creando un'infiammazione che a lungo andare può provocare lo sviluppo della steatosi epatica non alcolica e, in seguito, della sindrome metabolica.
A soffrire delle malattie del fegato grasso sono almeno il 25% degli italiani, una percentuale che può arrivare al 50% nelle persone obese. Dalle analisi condotte nella ricerca, si è capito che quando la barriera è chiusa si riesce a bloccare lo sviluppo della malattia. Il più delle volte lo sviluppo della patologia si ha in pazienti con la sindrome metabolica (che poi dà origine a diabete di tipo 2 e obesità) e può essere legato ad una dieta con molti zuccheri e grassi.
«Abbiamo osservato che inibendo l'apertura della barriera vascolare, o con un metodo genetico o usando l'acido obeticolico (OCA), possiamo chiudere la barriera e impedire ai batteri di entrare in circolo e quindi di sviluppare la malattia», sottolinea in conclusione Maria Rescigno.
(ANSA)
clicca e scopri come sostenerci







