Mieloma multiplo: l’evolutività è scritta nel genoma del tumore

Autore:
Redazione
06/09/2018 - 13:34

Il mieloma multiplo è il secondo tumore delle cellule del sangue per frequenza e, al momento, non esistono cure capaci di guarire la malattia. Con l’avvento di nuovi farmaci la sopravvivenza mediana è tuttavia migliorata, da circa tre anni nei primi anni del 2000 a sette-dieci anni per i pazienti diagnosticati oggi.

Il mieloma multiplo è preceduto in alcuni casi da una forma asintomatica, in cui il tumore è presente ma non causa danni all’organismo. Data l’assenza di cure, i pazienti affetti da questa forma asintomatica sono sottoposti a controlli periodici, ma ad oggi non esistono test di laboratorio che consentano di prevederne con accuratezza l’evoluzione.

Lo studio pubblicato sulla rivista Nature Communications dal professore Niccolò Bolli e dal dottor Francesco Maura, medici ematologi dell’Università Statale di Milano e della Fondazione IRCCS - Istituto Nazionale dei Tumori che lavorano nella Divisione di Ematologia diretta dal professore Paolo Corradini, parte dall’ipotesi che l’analisi del genoma delle cellule di mieloma asintomatico potrebbe darci delle informazioni sulle caratteristiche di evolutività della malattia che sono più accurate degli attuali esami clinico-laboratoristici.

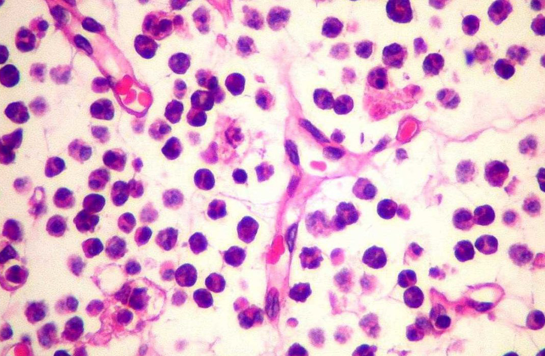
In questo studio, i ricercatori hanno quindi analizzato il genoma di casi di mieloma asintomatico, poi progredito in mieloma sintomatico, per il quale quindi si rendeva necessario il trattamento. È stato notato come, anche nelle forme asintomatiche, il mieloma abbia già tutte le caratteristiche genetiche delle forme sintomatiche. Di notevole importanza è stata quindi l’analisi dei campioni di plasmacellule - le cellule del sistema immunitario trasformate dal tumore - dello stesso paziente al momento dell’evoluzione. Questa analisi ha infatti consentito di identificare i cambiamenti alla base della variazione del comportamento del tumore.

I ricercatori sono riusciti a mettere in relazione la velocità di cambiamento con alcune caratteristiche intrinseche delle cellule tumorali, aprendo la strada a ricerche di più ampio respiro che potrebbero portare allo sviluppo di test genetici per predire il destino di queste forme asintomatiche con grande accuratezza. Ulteriori studi per confermare ed estendere queste osservazioni sono già in corso. Anche le ricerche in atto per accelerare lo sviluppo di metodiche diagnostiche attraverso la biopsia liquida su sangue – condotti dai Professori Corradini, Bolli, Baldini e Neri e dal dottor Montefusco in collaborazione tra Istituto Nazionale dei Tumori e Ospedale Maggiore Policlinico - potranno avvantaggiarsi del progresso nello studio del genoma del mieloma multiplo asintomatico.

«Le implicazioni di queste ricerche sono potenzialmente di grande impatto. Esse vanno, infatti, dalla possibilità di migliorare la prognosi di questi pazienti, attraverso interventi personalizzati secondo le caratteristiche della malattia di ogni individuo, alla riduzione dello stress emotivo dei pazienti che attualmente si devono sottoporre a test diagnostici senza poter conoscere in anticipo il destino della loro malattia. Inoltre, tramite una migliore stratificazione dei pazienti si potrà razionalizzare, e forse ridurre, la spesa sanitaria in test diagnostici e terapie», commenta Niccolò Bolli.

Lo studio pubblicato su Nature Communications è frutto di una collaborazione internazionale coordinata dal professore Bolli: sponsor del progetto è stata l’Università di Harvard, i campioni sono stati forniti dall’Intergroupe Francophone du Myélome, mentre parte dell’analisi è stata condotta in collaborazione con il Wellcome Trust Sanger Institute di Cambridge.

 

crowfunding adas

clicca e scopri come sostenerci