- redazione
- Salute
Articolo
Il dolore muscolo-scheletrico affligge il 97% degli italiani, sei persone su dieci ne soffrono settimanalmente, negli ultimi dodici mesi i lavoratori hanno preso in media 3,3 giorni di malattia con un impatto economico pari a 7,9 miliardi di euro.
Emerge da uno studio globale promosso da GSK Consumer Healthcare, che ha coinvolto 19.000 persone in... Continua
Articolo
LE MALATTIE INFIAMMATORIE CRONICHE INTESTINALI. In occasione del Meeting Salute di Rimini, ampio spazio dedicato alle malattie infiammatorie croniche intestinali, ossia la colite ulcerosa e la malattia di Crohn. Si tratta di patologie croniche ricorrenti che possono presentarsi in qualsiasi età, ma più frequentemente tra i 20 e i 30 anni di vita,... Continua
Articolo
Lo Shiatsu, antica pratica orientale, conquista gli italiani: tra le varie discipline del benessere è, infatti, il rimedio antistress preferito dal 19% ed oggi sono circa 6 milioni coloro che nel nostro Paese beneficiano di questo trattamento e circa 600mila ne fanno uso abitualmente.
Proprio per approfondirne la conoscenza, è ai nastri di... Continua
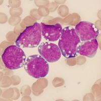
Articolo
Via libera negli USA ad una terapia genica che potrebbe rivoluzionare la cura di molti tumori. Infatti, l'FDA (Food and Drug Administration) ha approvato il trattamento chiamato CAR-T, che consiste nell'utilizzare le cellule del sistema immunitario del paziente ingegnerizzate, per ora contro la leucemia linfoblastica acuta resistente ai farmaci... Continua
Articolo
Sono dieci milioni gli italiani che finiscono al pronto soccorso per un dolore acuto: mal di schiena (78% di accessi al pronto soccorso), cefalea (16%) e coliche renali (5%) spiega Gian Franco Gensini, professore di Medicina Interna e presidente CESMAV - Centro Studi di Medicina Avanzata, sono le principali cause.
L'Italia è tra le pochissime... Continua
Articolo
Grazie a una tecnica innovativa è possibile identificare l'"impronta digitale" di proteine e biomarcatori quando sono ancora presenti in minime tracce, riuscendo così a effettuare una diagnosi precoce di malattie neurodegenerative, quali l'Alzheimer e il Parkinson.
A metterla a punto un team di ricercatori dell’Istituto di Fisica Applicata "Nello... Continua
Articolo
Il futuro della chirurgia è nelle mani dei robot. A partire dal 1999, nel mondo, i robot hanno eseguito 4 milioni di operazioni chirurgiche. Con un incremento costante fra il 2009 e il 2015 del 10% circa all'anno.
In Italia, sono fra le 12.000 e le 15.000 le procedure di chirurgia robotica annue, di cui oltre 3.000 nella sola Toscana. Il nostro... Continua
Articolo
Non sono i grassi i principali killer per il cuore, ma i glucidi, cioè i carboidrati.
Uno studio presentato a Barcellona nel corso del Congresso della Società Europea di Cardiologia mette in discussione quanto indicato finora in tutte le linee guida di prevenzione della salute cardiaca e da decine di studi e documenti scientifici.
Lo studio PURE (... Continua
Articolo
Dai quarant'anni in poi, per mantenersi in salute può aiutare camminare a passo svelto e spedito ogni giorno: bastano dieci minuti di camminata rapida giornaliera per ridurre del 15% il rischio di morte precoce.
Lo ricorda l'agenzia del governo inglese Public Health England che, come segnala la BBC, sta lanciando l'app gratuita Active 10, che... Continua
Articolo
I defibrillatori automatici esterni, obbligatori dal primo luglio in tutti i luoghi dove si fa sport, salvano vite almeno quattordici volte su quindici: in uno studio presentato al Congresso della Società Europea di Cardiologia a Barcellona emerge che su quindici persone colpite da arresto cardiaco mentre facevano sport amatoriale a Piacenza ben... Continua
Categoria
autore
- (-) Remove redazione filter redazione









